Plot n 757, Kalwar Rd, behind Shani mandir, Jhotwara, Jaipur, Rajasthan 302012
Monday - Saturday 09:00AM-7:00PM
Call:
+91 9587111938
Home
About Us
Services
RETINA SERVICES
CATARACT SERVICES
GLAUCOMA
CORNEA
NEURO-OPHTHALMOLOGY
PAEDIATRIC OPHTHALMOLOGY
Empanelments
Blog
Contact Us
Appointment
Appointment
Contact Info
Plot n 757, Kalwar Rd, Gokul Nagar, Jhotwara, Jaipur, Rajasthan 302012
+91 9587111938
eyecare@gmail.com
Services
Home
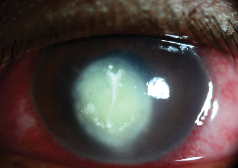
CORNEA
RETINA SERVICES
CATARACT SERVICES
GLAUCOMA
CORNEA
NEURO-OPHTHALMOLOGY
PAEDIATRIC OPHTHALMOLOGY
CORNEAL ULCER MANAGEMENT
ANTERIOR SEGMENT OCT ANALYSIS
9-POINT PACHYMETRY
DRY EYE MANAGEMENT
CORNEAL DYSTROPHIES
SUTURELESS PTERYGIUM SURGERY (WITH FIBRIN GLUE)
CORNEA Gallery
Appointment
×
NAME
Email
Mobile
Message